Anatomical Location Anatomy and Physiology I
Corte Sagital do Crânio

Objetiva-se estabelecer a validade dos cortes axiais e reconstruções coronal, sagital e em três dimensões (3D) no diagnóstico das fraturas do terço médio da face. Foram avaliadas imagens tomográficas de 65 pacientes com suspeita de fraturas do terço médio da face, obtidas em um tomógrafo multislice SOMATON SENSATION 64 canais (SIEMENS).
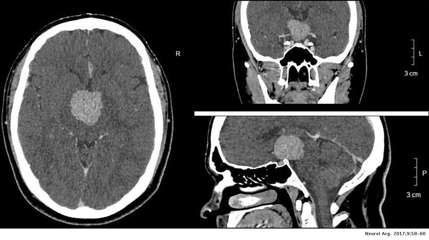
Pituicitoma hipofisario Neurología Argentina

Assim, um exame com 10 cortes demorava 50 minutos, no mínimo. Os equipamentos de 2 a geração já passaram a ser fabricados por diversas empresas, possuíam ampola de anodo rotatório, com feixe de RX em leque e cerca de 30 detetores, movimento solidário de translação-rotação de 30º. Com estes avanços, o tempo de corte foi reduzido.
A Evolução e a Importância da Tomografia Computadorizada

Plano coronal ou plano frontal é um dos tipos de planos anatômicos, dividindo o corpo com cortes verticais e perpendiculares ao plano mediano. Assim é possível definir a parte ventral/anterior (frente) da parte dorsal/posterior (costas). É usado para dividir diversos órgãos e para indicar a direção do ponto de vista de uma imagem (por.
Disección arterial vertebral bilateral como manifestación inicial del síndrome de Cushing

ADEM, submetidos a exame por RM e LCR (incluindo bioquímica, citologia e imunologia). Os exames de RM foram realizados em aparelhos de 1.5 ou 2T, sendo obtidas aquisições em T1, T2, DP e FLAIR, em cortes axiais, coronais e sagitais de 4 a 6 mm, com e sem injeção de gadolíneo. Todos os pacientes receberam metilprednisolona,
Anatomical planes or sections for human medical body division outline diagram. Labeled

Download scientific diagram | Cortes tomográficos axiais com 3 mm de espessura (A,B) e reformatações sagitais oblíquas ao nível das EIAI (C, direita; D, esquerda ) confirmando a deformidade.
NeupatimagemUNICAMP

produz cortes nos planos axiais, sagitais e coronais, para o melhor estudo de estruturas corpóreas. Esses recursos permitem ao médico uma visão com maior riqueza de detalhes sobre o tamanho e a composição do tecido corporal a ser examinado. (REIMBERG; LEMOS; CARVALHO, p.7, 2011).
NeupatimagemUNICAMP

Geralmente o exame da região dos maxilares é compostos por 4 tipos de reconstruções: axiais, coronais, sagitais (ou parasagitais) e ortorradiais. Esta parece ser uma boa seqüência para a interpretação das imagens. A figura 18B mostra os cortes axiais, numa seqüência arco dentário-cavidade nasal. A primeira imagem mostra, no lado.
Plano coronal fotografías e imágenes de alta resolución Alamy

INTRODUÇÃO. A ressonância magnética (RM) configura-se como o método de escolha para avaliação por imagem da coluna, já que permite a detecção de anormalidades como doenças degenerativas discais, enfermidades ósseas, malformações vasculares e trauma, além de lesões inflamatórias, neoplásicas e infecciosas da medula espinal. 1,2 A RM é tradicionalmente realizada com.
Corte Axial do Crânio

Spanish conquistador Hernán Cortés (1485-1547) traveled to Mexico in 1519, where he eventually overthrew the Aztec empire and helped build Mexico City.
Imagiologia Cranioencefálica Concise Medical Knowledge

Download scientific diagram | RM seqüência ponderada em T2, cortes axial (A), coronal (B) e sagital (C). Observa-se edema nos tálamos e nos núcleos da base, bilateralmente, causando.
Corte Axial do Crânio

Houve a necessidade de se familiarizar então com cortes coronais e sagitais, além de outros parâmetros inerentes ao método de RM. Nessa época houve grande alarde com a RM, sem grandes avanços da TC (1). A tomografia espiral ou helicoidal foi desenvolvida no final dos anos 80, e o primeiro tomógrafo helicoidal comercial foi produzido em.
NeupatimagemUNICAMP

Crianças entre 1 e 5 anos, o exame deve ser agendado preferencialmente na Unidade Paraíso, no entanto, caso o responsável não aceite, podemos agendar nas outras unidades, conforme grade.. - Análise das mastóides por meio de cortes finos (1mm) axiais e coronais por tomografia computadorizada. De acordo com a indicação clínica, pode.
Corte Coronal do Crânio

Planos e Cortes Anatômicos. Planos e Cortes Anatômicos 1. Planos e Cortes Anatômicos 2. Corte Axial. Corte Coronal. Corte Sagital. Planos e Cortes Anatômicos. Embriologia. Neurocrânio e Forames da Base.
Sagittalplan Wikipedia, den frie encyklopædi
Caninos, primeiros e segundos pré-molares, primeiros e segundos molares foram examinados em cortes axiais, coronais e sagitais. As raízes vestibulares desses dentes foram avaliadas da face mesial até a distal. Resultados: Todas as análises estatísticas foram realizadas usando os softwares SAS 9.3 e SUDAAN. O alfa usado no estudo foi de 0,05.
Corte coronal de cerebro 4 Diagram Quizlet

Na tela de reconstrução multiplanar, os cortes axiais, coronais e sagitais foram realizados no longo eixo de cada dente. A partir dos cortes sagitais, para os caninos e incisivos laterais e dos cortes coronais, para os primeiros pré-molares, foram mensurados comprimento radicular e os níveis de inserção óssea vestibular e palatina.
Imagenología de la Cabeza y el Cerebro Concise Medical Knowledge

Guns, germs, and horses brought Cortés victory over the mighty Aztec empire. The Aztec outnumbered the Spanish, but that didn't stop Hernán Cortés from seizing Tenochtitlan, the Aztec capital.
.